Smile Design
A smile can be the most eye-catching feature of a face.
With dentistry’s many advances you no longer have to settle for stained, chipped or misshapen teeth. You now have choices that can help you smile with confidence. Even the most subtle change in your smile can make a dramatic difference in the way you look and feel about yourself.
We have a high level of technology available so we can offer you many of the latest treatments to enhance the health and beauty of your smile. We can increase your smile health, vitality and beauty at the same time.
For further impartial and professional details on dentistry and oral health, visit the website of the British Dental Health Foundation www.dentalhealth.org.uk
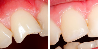
Tooth coloured fillings

Blend in more naturally with the surrounding teeth, they not only look more natural but can be used to strengthen teeth.
Tooth Whitening

Fast, painless and amazing! Brighten your smile, with our choice of whitening treatments you will notice the difference immediately and so will everyone else.
Porcelain Veneers

For crooked, discoloured or unevenly worn teeth the addition of porcelain veneers may be sufficient to give your teeth a bright uniform look in just a couple of weeks.
Porcelain Crowns

A crown is a covering to replace the top part of your tooth above the gum line. Crowns are needed when teeth are broken down due to decay, fracture or they just need to look better.